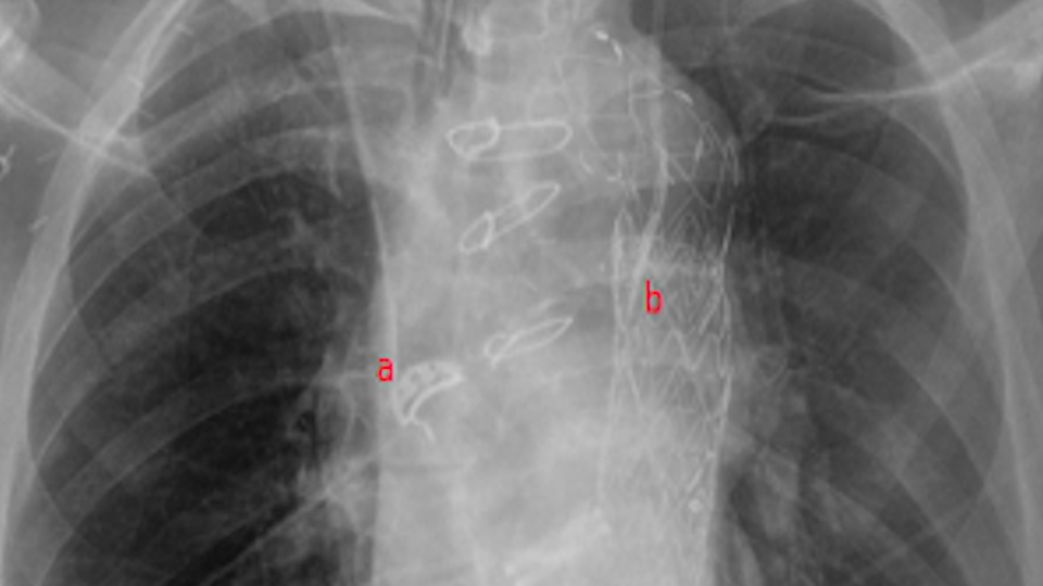
De l’importance du contrôle radiographique post-cathéter veineux central : à la découverte des variantes anatomiques !

Cathéter veineux centraux et variantes anatomiques vasculaires

Auteurs

  • Julien Demiselle

DOI :

https://doi.org/10.37051/mir-34-002241

Mots-clés :

cathéter intra vasculaire, Radiographie de thorax, variantes anatomiques, réanimation

Résumé

Non applicable dans la catégore Image.

Image

Publiée

2025-10-22

Comment citer

Demiselle, J. (2025). De l’importance du contrôle radiographique post-cathéter veineux central : à la découverte des variantes anatomiques ! Cathéter veineux centraux et variantes anatomiques vasculaires. Médecine Intensive Réanimation, 34(3). https://doi.org/10.37051/mir-34-002241

Numéro

Rubrique

Images en Médecine Intensive Réanimation

Catégories

Lecture recommandée